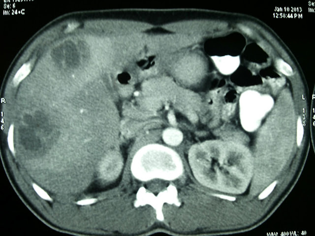
Ct scan pyogenic liver abscess

July 8, 2019
ct scan pyogenic liver abscess



пиранья 215 эхолот цена

эхолот практик эр 4pro2 цена

эхолот фишерман 200 отзывы цена

эхолот глубиномер jj connect fisherman 130 купить

беспроводные эхолоты для рыбалки цена

купить gps приемник для эхолота

raymarine dragonfly 7 эхолот картплоттер цена

gps датчик для эхолота humminbird

купить эхолот реймарин драгонфлай 5 pro

сделать крепление датчика эхолота своими руками

как работает эхолот для рыбалки