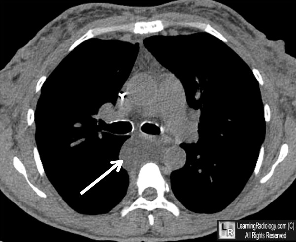
Mediastinal duplication cyst ct

July 8, 2019
mediastinal duplication cyst ct



купить эхолот гармин эхо

эхолот для рыбалки с лодки форум

купить эхолот диппер про

беспроводной эхолот

купить бу эхолот в ярославле

нужен ли эхолот на зимней рыбалке

часто ли выходят из строя датчики эхолота

эхолоты в пензе практик купить

купить эхолот фишерман 220 зима лето

купить эхолот для кораблика

какова глубина моря если сигнал звукового эхолота